宮崎市の内科、外科、消化器科、リハビリテーション科  <<院長の手作りホームページです>>
〒880-0824 宮崎県宮崎市大島町前田310-1 Tel.0985-25-7722 Fax.0985-25-7754 https://ocean-clinic.com
オーシャンクリニック紹介
地図:下北通線と大島通線の交差点
ご挨拶(院長・看護主任・事務主任)
保険証と診察について患者様へのお願い
各種健康診断、人間ドックの案内
内視鏡、消化器科の病気・診療について院長執筆カラム
リハビリテーション
内科系の病気・診療について院長執筆カラム
外科系の病気・診療について院長執筆カラム
東洋医学(鍼灸・漢方)について院長執筆レクチャー
オーシャンクリニック
HOME内視鏡> 03_1.当院の胃カメラルーチン撮影

03.当院の胃カメラルーチン撮影

■ ルーチン撮影のメリット

胃カメラ(上部消化管内視鏡検査)において、ルーチン撮影の順番をあらかじめ決めておくことには、以下のような明確なメリットがあります。これは検査の質の向上、記録の標準化、異常の見逃し防止など、多面的な利点があります。
項目 内容
@ 見落とし防止 決まった順番で観察することで、特定の部位を見落とすリスクを減らします。たとえば胃体下部後壁胃体部小弯胃体上部前壁など、見落としやすい部位も確実に観察できます。
A 検査の再現性の確保 誰が検査しても同じ順番・角度で撮影されるため、過去画像との比較がしやすく、微細な変化にも気づきやすくなります。
B 記録の標準化 電子カルテやRIS・PACSでの画像管理の際、撮影順が定まっていれば画像整理や報告書作成が効率化され、異常所見の位置も明確になります。
C 教育効果 研修医や若手医師への指導時、ルーチン順があることで系統的に指導しやすくなり、習熟にもつながります。
D 体位変換や送気の調整がスムーズ 決まった順で観察すれば、患者の体位や送気吸引のタイミングも一定化でき、検査時間の短縮・負担軽減にもつながります。
E 医療安全の向上 撮影漏れ・観察漏れが減ることで、診断の見落としや訴訟リスクの軽減にも貢献します。

■ 実際の撮影(39ショット)

順番 部位 説明 画像
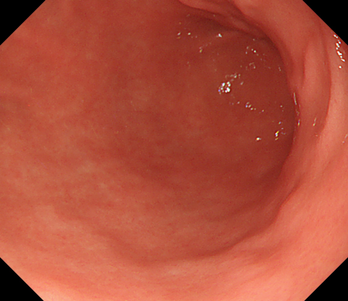
1 食道中部 門歯から約25cm 中部食道
2 食道下部 門歯から約35cm 食道下部
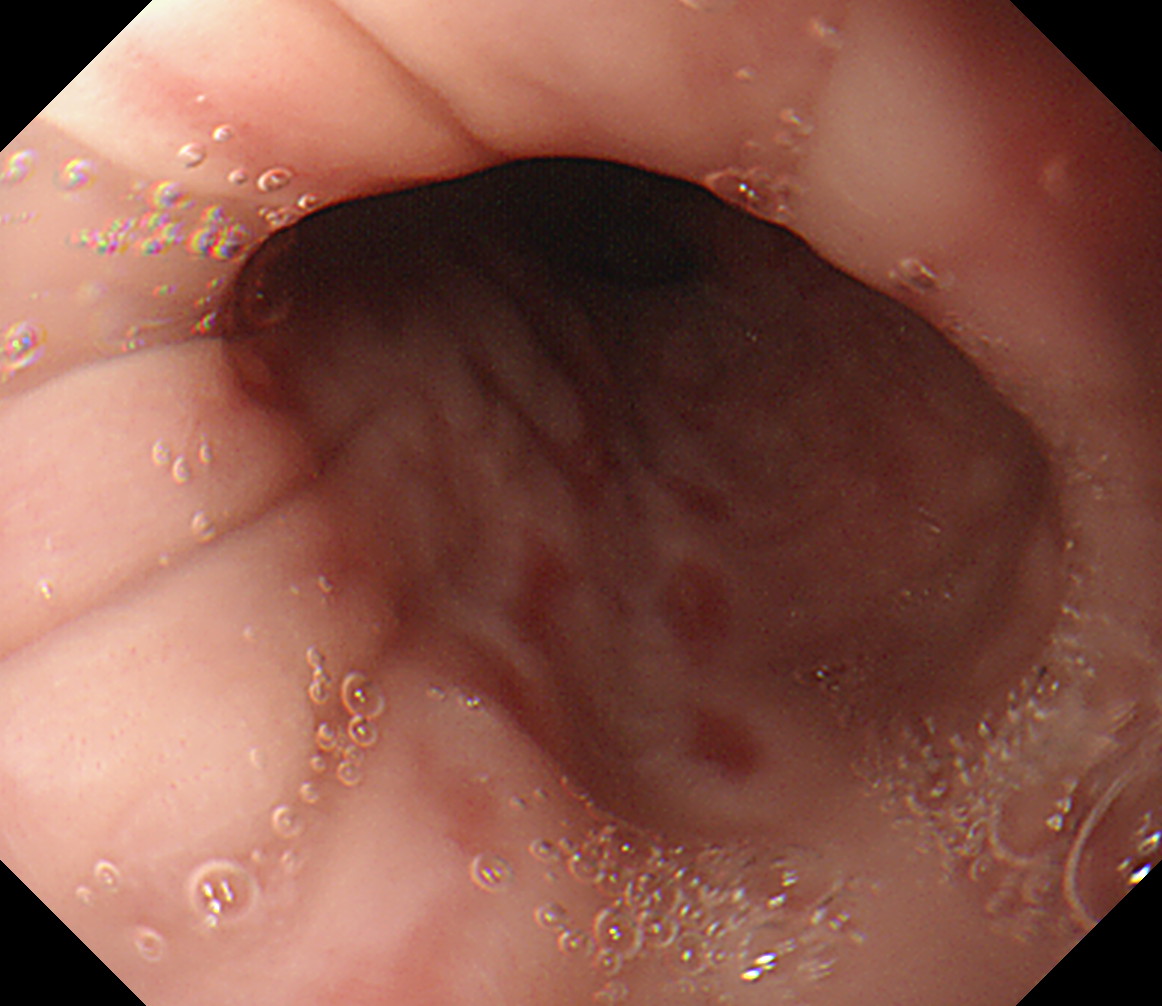
3 EGJ この人はLos-Angeles分類 GradeDの逆流性食道炎があります。 EGJ
4 幽門部後壁 後壁から始めて反時計回りです 幽門部後壁
5 幽門部小弯 幽門部小弯
6 幽門部前壁 幽門部前壁
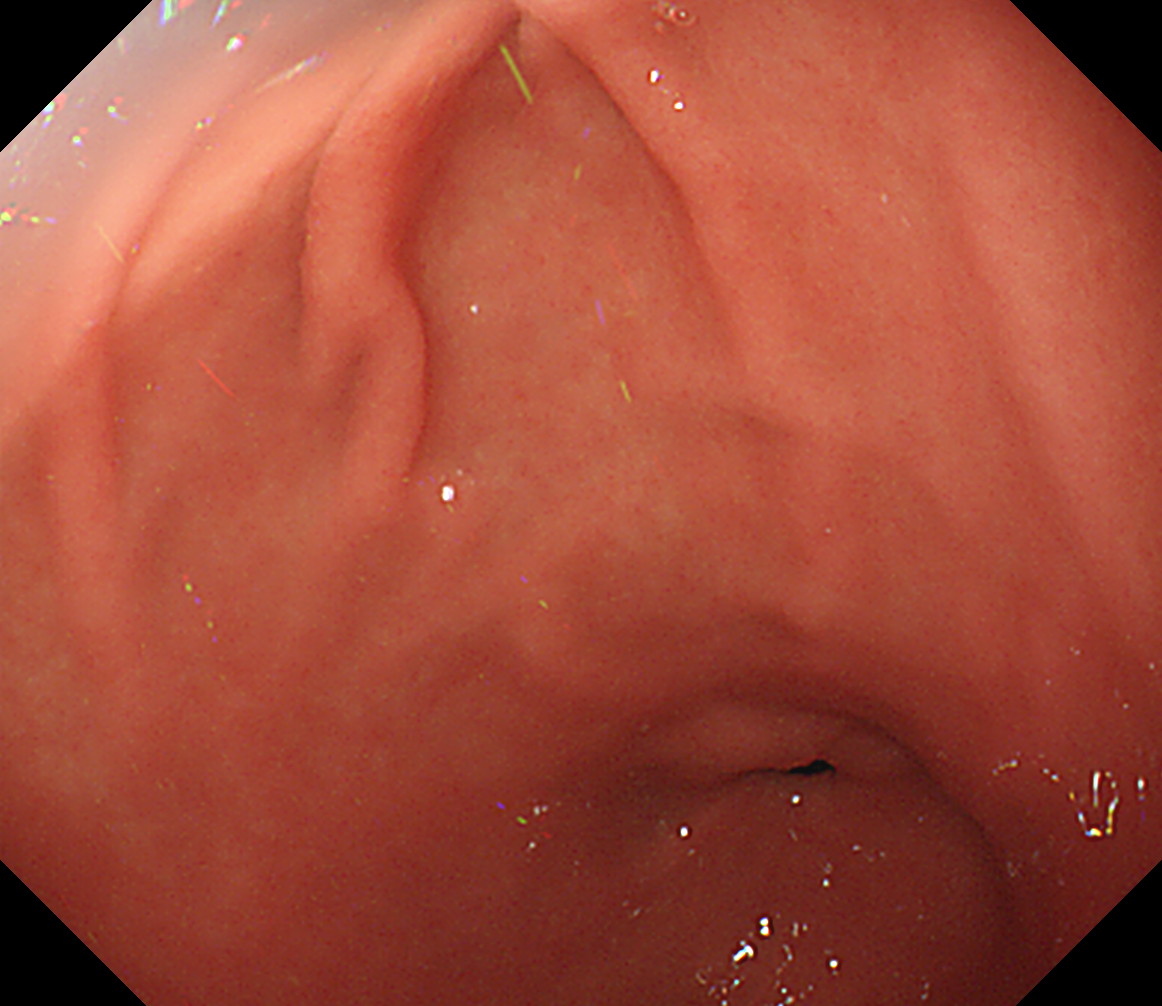
7 幽門部大弯 幽門部大弯
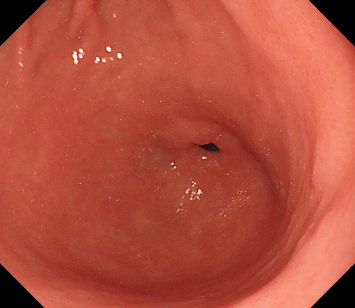
8 幽門輪 いわゆる「PーRing」 幽門輪
9 十二指腸球部前壁 十二指腸球部前壁
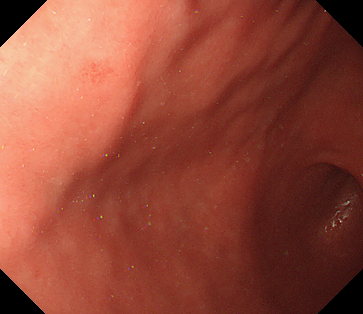
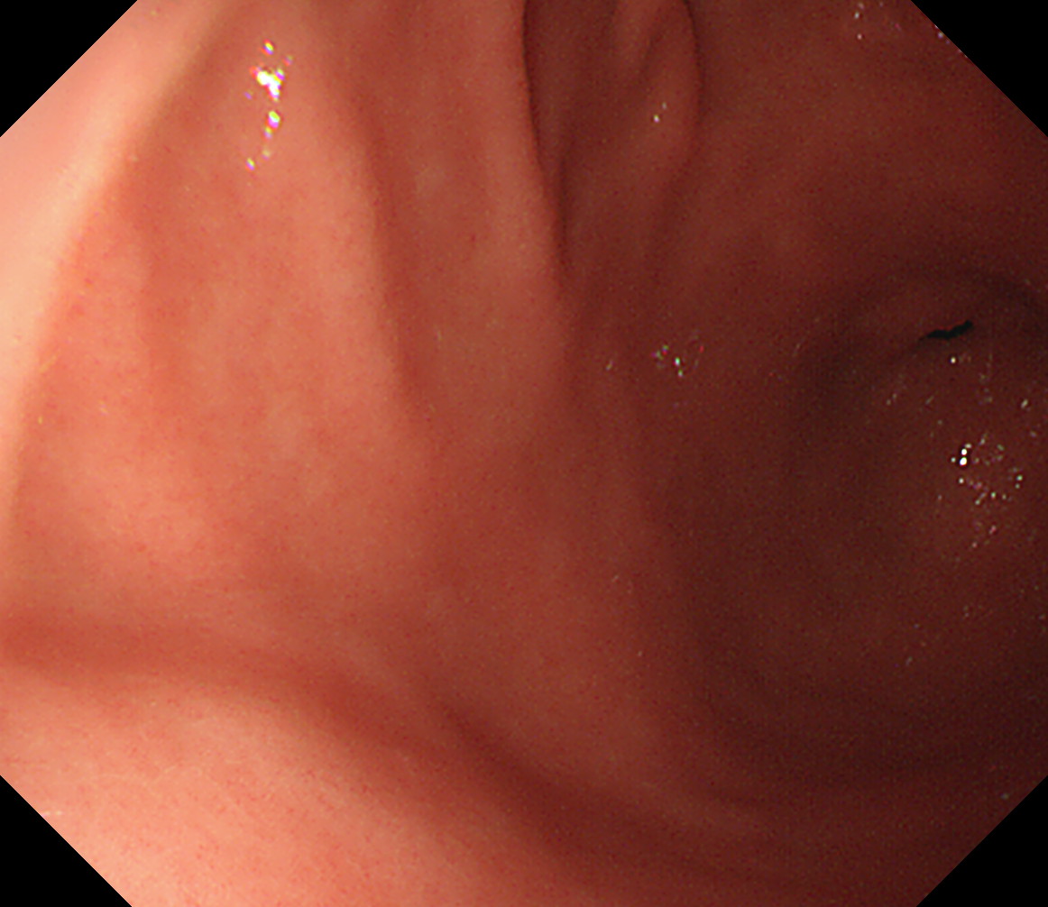
10 十二指腸球部後壁 この後十二指腸下降脚とVater乳頭を観察します 中部食道
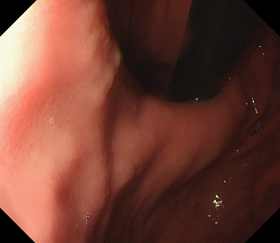
11 胃角部後壁 [見下ろし]になります 中部食道
12 胃角部小弯 [J反転]見上げになります 胃角部後壁
13 胃角部前壁 再度、[見下ろし]になります 胃角部前壁
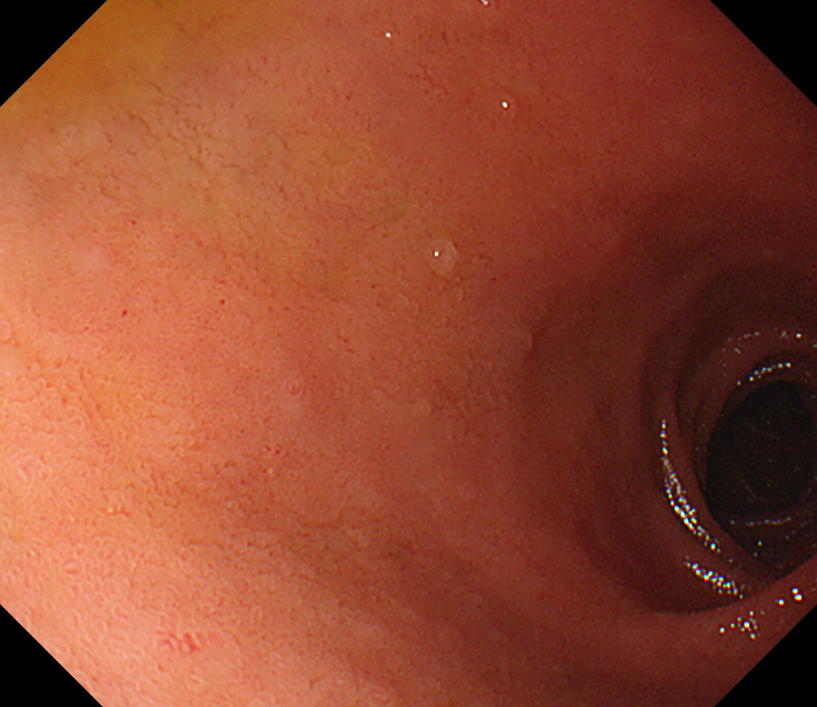
14 体下部小弯(角上部) [J反転]して以降見上げです 体下部小弯(角上部)
15 体中部小弯 接線になり見逃しやすい部位です 体中部小弯
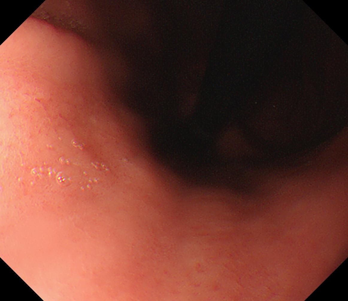
16 体上部小弯 接線になり見逃しやすい部位です 体上部小弯
17 穹窿部後壁 以下[U反転] 穹窿部後壁[以下U反転]
18 穹窿部大弯(頂部) 穹窿部大弯(頂部)
19 穹窿部前壁 穹窿部前壁
20 噴門部前壁 噴門部前壁
21 噴門部後壁 噴門部後壁
22 噴門部小弯 [J反転]に戻る
胃体上部小弯と近い画像
噴門部小弯[J反転]
23 胃角部大弯 以下ずっと[見下ろし]でくるくる反時計方向に回しながら引き上げていく
萎縮境界の観察なども行います
胃角部大弯
24 体下部後壁 引き上げて
後壁から反時計回り
接線になり見逃しやすい部位です
体下部後壁
25 体下部小弯 体下部小弯
26 体下部前壁 体下部前壁
27 体下部大弯 噴門部小弯[J反転]
28 体中部後壁 いったんカメラを噴門まで引き上げて胃体中部を決定し
後壁から反時計回り
胃角部大弯
29 体中部小弯 体下部後壁
30 体中部前壁 体下部小弯
31 体中部大弯 体下部前壁
32 体上部後壁(分水嶺) 分水嶺は胃体上部と穹窿部の境界だが病変の多い部分なのでこの画面に分水嶺全体を入れる
後壁から反時計回り
噴門部小弯[J反転]
33 体上部小弯 胃角部大弯
34 体上部前壁 接線になり見逃しやすい部位です 体下部後壁
35 体上部大弯 エアーを十分入れて襞の間の病変を見逃さないようにする 体下部小弯
36 穹窿部後壁 ダウンアングル
ここだけ
後壁から時計回り
体下部前壁
37 穹窿部大弯 左アングル 噴門部小弯[J反転]
38 穹窿部前壁 アップアングル 胃角部大弯
39 穹窿部小弯 逆流性食道炎を画面に入れるため、やや口側から撮影しています 体下部後壁

内視鏡のTOPに戻る


宮崎市の内科、外科、消化器科、リハビリテーション科
〒880-0824 宮崎県宮崎市大島町前田310-1
tel 0985-25-7722 fax 0985-25-7754
https://ocean-clinic.com

クリニック紹介アクセスご挨拶患者様へのお願い健診、人間ドック
内視鏡| リハ診療百談〜内科診療百談〜外科東洋医学サイトマップ
Copyright ©2008 Ocean Clinic All Right Reserved.